Pet Dental Care
Prevent dental disease and teeth loss.
Dental care is an essential part of your pet’s overall health and is just as important as their annual exams. When oral hygiene is neglected, pets can develop dental disease which negatively affects other systems in the body and may lead to tooth loss.
At Wellington Veterinary Clinic, we offer dental services, including teeth cleaning, to help your cat or dog live a healthier life. Ask about our preventive dental care and other dental services at your next exam or call us at (440) 647-4100.
Learn more about our pet dental care services:
        			Preventive Dental Care
Routine dental care matters.
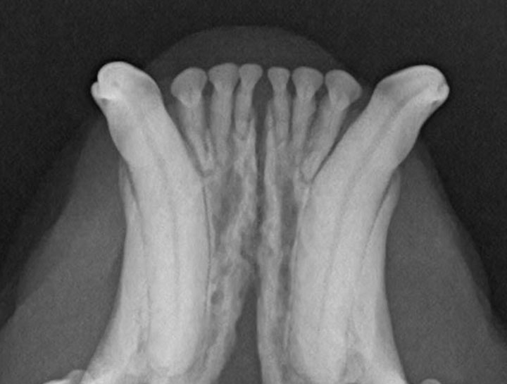
Digital Dental Radiology
Insight into underlying issues.
Dental Surgery
Pet tooth fractures and dental disease care.
						

